Skip to main content
Precision Periodontics
& Implant Dentistry
Daniel S. Lauer, DMD
|
Board Certified Periodontist
3535 Military Trail,
Suite 207,
Jupiter, FL 33458
561.775.0331
Home
About Us
About Our Office
Meet Dr. Lauer
Technology
Safety & Sanitation Measures
Office Tour
Blog
News Room
Procedures & Treatments
Procedures & Treatments Overview
Dental Implants & Tooth Replacement
Dental Implant Overview
Dental Implant Cost & Factors
Teeth In A Day (Full Mouth Restoration)
All-on-4
®
Implant Dentures
Bone Grafting and Regeneration
Laser Periodontics & Gum Treatments
Laser Periodontics & Gum Treatments Overview
Cosmetic Enhancements
Receding Gums Treatment
Emdogain™ Periodontal Regeneration
Crown Lengthening (Gummy Smile)
Laser Therapy for Orthodontics
Gum Disease Treatment
Sedation Dentistry
Oral Conscious Sedation
Nitrous Oxide Sedation
Sedation Dentistry Cost
Mouth-Body Connection
Testimonials
Testimonials
Write A Review
Smile Gallery
Contact
New Patient Forms
Email Us
Precision Periodontics
& Implant Dentistry
Daniel S. Lauer, DMD
|
Board Certified Periodontist
Dental
Photo Gallery
Home
/
Gallery
/
Dental
/
Patient 2
Back to Gallery
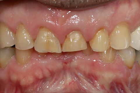
Patient 2
Before
After
Details:
Aesthetic crown lengthening